Hacker Newsnew | past | comments | ask | show | jobs | submitlogin
I had my head examined... (abstractnonsense.com)
165 points by abstractbill on Sept 21, 2009 | hide | past | favorite | 47 comments


If you haven't ever read about how MRIs work, you should. I first learned how MRIs work in college while studying biochemistry. The same technology is used in that field, but called NMR (nuclear magnetic resonance). It is the only medical technology that still blows me away when I sit down and think about it. The people who realized they could use it to take cross-sectional scans of peoples bodies without any invasive procedure are true geniuses.

http://en.wikipedia.org/wiki/Magnetic_resonance_imaging


"Just lay down on that table, and hold still while we orient the polarization of all the water in your head. It'll be just fine."

CTs (http://en.wikipedia.org/wiki/X-ray_computed_tomography) and PETs (http://en.wikipedia.org/wiki/Positron_Emission_Tomography) are pretty cool as well. CTs use essentially an X-ray beam that travels in a helical path around your body, and then use math to construct a 3D image, PET is the one where you drink an isotope, and they "catch" the positrons emitted from the radioactive material in your body.


Heh, I did an NMR experiment in senior lab back in school (1995 senior lab) and had forgotten that this is precisely how MRI works (the resonance should have given it away). I wish I had my old lab book (only had a paper copy) to review the experiment now, it's fogging out big time from my memory.


Not sure if it's true, but my prof in college told us that the reason the name was changed was because of the negative connotation of the word "nuclear". Otherwise it's exactly the same technology as NMR.


I heard that as well from a couple profs of mine, doesn't mean it's true but it sounds reasonable.


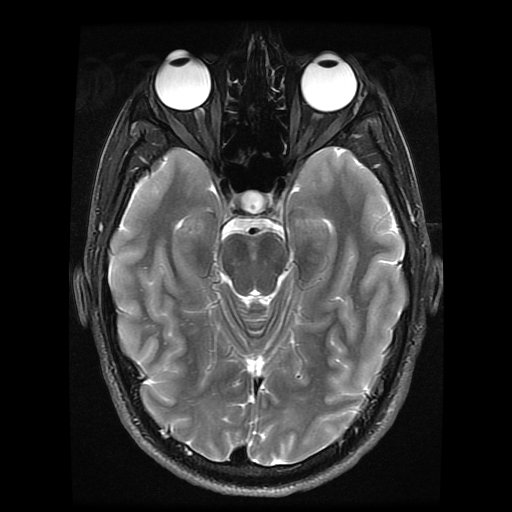
This is my favorite image btw - my eyeballs look awesome!

http://abstractnonsense.com/mri-images/top-to-bottom/0117.jp...


"... This is my favorite image btw - my eyeballs look awesome! ..."

The immediate thing that struck me is the lack of internal structure symmetry. The folding is different between the left and the right hemisphere.


A whole new meaning to the phrase "you have beautiful eyes"


Actually, I have once been complimented in a bar with the phrase "you have such big eyeballs!" It was mildly flattering since I could tell she meant it as a compliment, but I felt really weird.


Get a print and put it in your wallet. Show it to people like it's your kids or something.


GREAT!!! now I can see how you dod that thing. Unfortunately I can't carry a RMI machine every time I need, so I'll keep killing people.


I was about to downmod you, but then I noticed your username.


A great intuitive way to link head mri's to actual heads. Thanks for this. I expect it will be really helpful for students.

If anyone wants to get paid (usually about $30/hour) to have your head examined, search for a fMRI lab at the biggest universities in your area. You'll usually also get an image or two. If you ask nicely you may also be able to get the same type of set as here.


If you're in Boston (or somewhere close) and want to get your brain scanned as part of a study, look for announcements here:

http://mollylab-1.mit.edu/mailman/listinfo/bcs-subjects

You'll get a CD with your images, and you'll get paid ($30 per hour, two hours on average).


Awesome :)

Really interesting to see it in an easy to use UI like that.

All we need now is a zoom -> enhance, zoom -> enhance. Down to the neuron level.


Be sure to play with your study in OsiriX: http://www.osirix-viewer.com/

It will build a 3d Model where you can peel back all the way to the bone.


That's pretty cool. Did you go to a private company to get your MRI done or was this something that was covered under your insurance and they just happened to let you keep the data?


It was covered under my insurance (which means I'll pay an apparently random out-of-pocket amount between 0% and 99% at some later date, judging on previous uses of this insurance).

They didn't offer me the data, but I asked, and they gave me a DVD full of scan data. Had to do a little research to figure out how to convert that data to jpeg images, but it wasn't too hard - it turns out imagemagick understands the formats involved, and can do all of the required processing steps.


Would you mind sharing the scripts? Would love to have something similar. :-)


It's was most probably in DICOM (http://en.wikipedia.org/wiki/Digital_Imaging_and_Communicati...) - pretty much a standard nowadays and you can find a lot of FOSS applications that can read it. Just watch out for the file sizes - those images are not compressed high-resolution 3d 16-or-more-bit grayscale, so you need massive amounts of ram/swap.

The format itself is cool though - it can support annotations, arrows and basically anything-you-want overlayed on certain parts of the image afterwards.


I didn't save my work unfortunately ;-)

I'll have a look when I get home tonight though - there's a decent chance everything is still in my bash history!


I'm sure the intricacies vary by state and country, but you typically have a legal right to access your medical records, regardless of who pays and who performs the care. In the US, these rights are granted by HIPAA.


I'm curious too how you got the data? Did you give you slices like that, and you scanned them?


When you get a scan like this, they give you all the slices. When I had it done I got them physically, they might just do them digitally now.

I even got a 3D model of my skull, it was pretty awesome.


Different guy here, also had an mri done. I simply got a cd-rom with the image slices and a software to view them. There's about 600 images if I can recall correctly.


Via insurance or private company?

I would really like to do this, but I have no medical reason to do it. I'm just curious about what my insides look like. If anyone knows of a place that will let random joes get an MRI in exchange for money, I'd be interested in hearing about it - as well as how much it costs.


All you need is a doctor's referral to get an MRI. Go to your doctor and ask nicely, that should be enough.

Once you have that, you can shop around to any hospital or clinic that has the right equipment. MRIs can start off at $1,000, so I hope you really want it!


You can say that you are feeling very bad headaches, I think it's a good reason and it would be in benefit of science and curiosity


And people wonder why health insurance premiums are so bad ;)


Please be aware that MRIs have an utterly massive amount of radiation. X-rays are almost always done first because of the risk of damage from the radiation. You really don't want to have an elective MRI. (That said, I'm aware of no known studies that have demonstrated long-term risk from MRI radiation, but to me, prudence says you don't subject yourself to an MRI that you don't have to.)


The 'radiation' involved in an MRI is electro-magnetic radiation, otherwise known as radio waves. It's true that the field strengths involved are thousands of times stronger than what you encounter in everyday life but they are by no means harmful the way that ionizing particle radiation (X-rays, gammra rays, etc) is...

The most likely side effect is peripheral nerve stimulation and even that highly unlikely because the field strengths are controlled to avoid it...

In general MRIs are perfectly harmless and don't have any serious or lasting side-effects.

Check out: http://en.wikipedia.org/wiki/Magnetic_resonance_imaging for more info


X-rays and Gamma rays are "only" electro-magentic radiation too. As are microwaves, and most people wouldn't place their heads into a running microwave oven.

I'm not saying that the radiation used in MRI would be harmful, but saying that its harmless because it's electro-magnetic is just plain wrong.


Perfectly true, I phrased my comment the way I did to get away from the idea that 'all radiation is bad'. EM radiation can be dangerous in that it can cook you if there's too much of it... However it's far less likely to cause the serious tissue and genetic damage that particle radiation would.

I would gladly put my hand in a microwave before I would be willing to bathed in gamma rays...


See, I read that to make sure I wasn't crazy, and I just didn't see the distinction.

I want to be clear: you're saying it's totally safe to get an MRI or a full body scan or whatever else as a totally elective procedure?


An MRI below about 5-6 teslas is perfectly safe provided there is no ferrous shrapnel in your body. If there is shrapnel in your body, the magnet will pull it out and cut your body in the process.

(The X-ray is done to make sure you don't have any shrapnel and also because it is cheaper. If the X-ray reveals the problem, you can avoid the more expensive MRI.)

RF radiation will only harm the human body at very high field strengths (think microwave oven). The typical medical machine only gets 1-3 teslas, though a few research machines can reach the 6-8 tesla neighborhood (e.g., Dan Sodickson has an 8 tesla machine here at NYU).


you're saying it's totally safe to get an MRI or a full body scan

As safe as anything else you'd do without thinking twice.


One of the main reasons to do the X-ray first is to ensure that you don't have any unknown ferrous metal (from welding, grinding, etc) that will become a projectile under the intense magnetic fields.

(I wasn't aware that there was a massive amount of radiation from MRIs, and tend to doubt that claim. Are you confusing it with CT perhaps?)


1) It's radio energy, not the ionizing radiation that we associate mutations and cancer.

2) It's actually very low power. Most of the energy in an MRI machine goes toward maintaining a super-high magnetic field. The radio energy used is on the order of a few watts per kg body weight.

3) The danger isn't being irradiated. The danger is being cooked.


I get checkup MR scans every 6 months. I ask for copies for my images on CD. I have never had a place reject but some charge you an out of pocket 10-20$


Thanks for sharing that - the human body is crazily fascinating and the brain has to be one of the most intriguing parts of it.

Seeing "inside" one's head is a little awe inspiring.


Yes, thank you for sharing. I had a lot of fun poking around your head. I hope that whatever was ailing you has subsided.


There are a number of programs out there to look at images from MRI's, CT, etc, but if you are interested in hacking something together, the pydicom library is worth checking out.

http://code.google.com/p/pydicom/


Nice work! Fascinating to observe the differences between your left and right hemispheres. Are the barrel distortions constant or a function of the scanner's travel? eg move the Z/blue line all the way to the front or back of the head, and the sides pincushion inwards. I couldn't make out if it was constant or not, but the shape of the Y/Red frame seemed to change as it moves from top to bottom.


Is it possible to participate in some students project and get your head scanned for free as part of a study? That would be sweet.


Nice work. How long till every one of our doctors has easy access to something like this ?


Docs pretty much all have easy access to MRI, at least in the US. I have prescribed MRIs for patients in rural Louisiana. We just tell the patient "go get an MRI". Either the hospital radiology group has a scanner, or there are radiologists with MRI machines out in town. The patient just has to sign a HIPAA release so I can get the images and the radiologist's report.

Fun fact: one of the failed attempts at regulating doctors was to for the government to buy machines for hospitals, thinking somehow the government would maybe somehow have some control over something, maybe who got scanned? Net effect was an explosion in high-end OR and radiology equipment.


Were you thinking about sexy women during the scan? If you focus the green axis of the scan just one click to the right from the center of your nose, your brain stem looks just like a dancer leaning against a wall.. Either that or a crucifix. Maybe you are catholic? :)

Anyway, very interesting pictures. Thanks for sharing.




Guidelines | FAQ | Lists | API | Security | Legal | Apply to YC | Contact

Search: